Quiz – SBOP – Área do Médico

SBOPQuiz

Questão 1

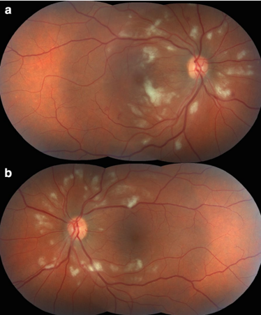
Menina de 12 anos, previamente hígida, há 7 dias apresentou febre alta, mialgia e rash cutâneo. Evoluiu com baixa visual súbita bilateral e escotomas centrais. O hemograma mostra plaquetopenia. Ao exame oftalmológico: acuidade visual 20/80 OD e 20/40 OE; biomicroscopia sem alterações; fundoscopia abaixo. A mãe refere surto recente de dengue na região. Qual o diagnóstico mais provável para o quadro ocular desta paciente?


Selecione uma das respostas abaixo:

Questão 2

Em relação à fisiopatologia do quadro apresentado pela paciente, qual é o mecanismo mais aceito?


Selecione uma das respostas abaixo:

Questão 3

Considerando condutas típicas e prognóstico das manifestações oculares da dengue, qual é a melhor conduta inicial para esta paciente?


Selecione uma das respostas abaixo:


Comentários

Deixe seu comentário/pergunta, ele poderá ser selecionado para a próxima newsletter (disponível apenas para membros)

Fazer login